POROUS BRAIN INFUSION CATHETER (PBIC)

OmniArray is a trademark of Occam Design, LLC

 The OmniArray™ PBIC uses Convection Enhanced Delivery (CED) to deliver small to large therapeutics directly to the brain parenchyma tissue, bypassing the blood-brain barrier. It is designed for intraoperative and multi-day infusions.

DEVELOPMENT PARTNERSHIP OPPORTUNITIES

Currently, the OmniArray™ Porous Brain Infusion Catheter manufactured by Occam Design can only be used in the setting of an approved clinical trial. Occam Design is currently seeking academic, clinical, and commercial partners across a wide range of indications, from oncology to neurodegenerative diseases.

The purpose of this brochure is only to obtain partners
and not to make the device generally available.

INTENDED DESIGN FEATURES
• Developed to deliver small molecules, proteins, cells, and gene therapy formulations
• Multiple radiopaque tip lengths to match target size
• Designed for uniform distribution across porous length
• Engineered to bridge low and high-resistance areas of the brain
• Step feature which aims to reduce backflow
• Designed for acute/intraoperative and multi-day infusions
• Constructed for MRI compatibility

CONFIGURABLE TIP
Multiple porous tip designs: 1/2 cm, 1 cm, 2 cm, 3 cm, 4 cm, and 5 cm.

Figure 1 — OmniArray™ PBIC delivery
of dye solution in a water bath with a 5 cm porous length.

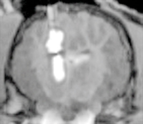
Figure 2 — OmniArray™ PBIC delivery of MRI contrast agent to porcine parenchymal brain tissue (high flow resistance) while also bridging the ventricle (low flow resistance).

Figure 3 — 1 cm OmniArray™ PBIC delivery of MRI contrast agent in canine parenchymal brain tissue at 8 ul/min infusion rate.

The OmniArray Catheter is not FDA Approved.

Currently, the OmniArray Porous Brain Infusion Catheter can only be used in the setting of an approved clinical trial. The FDA has not cleared the device for sale.


© Copyright 2025 by Occam Design. OmniArray is a trademark of Occam Design and all rights are reserved.